
Non todos saben o que é a artrose, por mor disto, a xente confúndese nos métodos de tratamento e non entende os principios do diagnóstico da patoloxía. A artrose é unha grave violación distrófica que provoca a lesión dos tecidos da cartilaxe na cavidade intraarticular. A complexidade da terapia está asociada á irreversibilidade dos procesos, non se pode conseguir unha cura completa no marco da medicina moderna, pero a gravidade dos síntomas pode reducirse e a progresión da patoloxía pode retardar. Con un tratamento adecuado, unha persoa continúa o estilo de vida habitual durante moito tempo.
Que é a artrose?
Do mesmo xeito, é máis sinxelo que para a enfermidade a artrose é unha enfermidade das articulacións que provoca a restrición da amplitude do movemento e da dor. Na primeira fase de danos, non hai manifestacións, teñen unha lixeira gravidade e lavadas. Pouco a pouco, a patoloxía avanza, isto facilítase por cambios relacionados coa idade no corpo, o estrés, as lesións, etc. Segundo as estatísticas, preto do 80% da poboación de máis de 60 anos por artrose.
A artrose da articulación desenvólvese durante moito tempo, inicialmente só afecta a cartilaxe de hialina, para logo estenderse aos ósos, implica a cuncha sinovial, os músculos e toda a cápsula articular. Na primeira ou fase inicial da artrose, a lesión maniféstase lixeiramente: pequenas dores despois do traballo duro, inchazo, vermelhidão da pel. Debido a ignorar as sensacións incómodas, a articulación está deformada, inflamada, trae dor severa, o seu pico cae pola mañá. A enfermidade caracterízase pola desaparición da dor despois do desenvolvemento da articulación. Se non se trata, unha persoa perde a mobilidade da articulación por completo.

Hai unha forma primaria e secundaria de artrose. A pseudo-artrose (neoartrose) tamén se distingue, e non moita xente sabe o que é, xa que se forma menos a miúdo que outras variedades. A neoartrose é unha articulación falsa, polo que o tecido cartilaxe aumenta nun lugar inusual onde se obtiveron danos. É difícil tratar, principalmente cirurxicamente.
Hai unha patoloxía debido a trastornos da función rexenerativa, inmunidade ou danos mecánicos. Debido a varias causas da cartilaxe, faise máis fino. En estado normal, o tecido de cartilaxe recibe unha nutrición suficiente para a recuperación, pero despois do exceso de esforzo físico ou debido a unha violación dos procesos metabólicos, os tecidos non teñen tempo para rexenerarse. Na primeira fase, queda a mobilidade conxunta. Despois de ter en conta o que é a artrose como unha definición, paga a pena profundizar con máis detalle no desenvolvemento da patoloxía.
O mecanismo de desenvolvemento da artrose, os seus tipos
Moitas variedades de artrose desenvólvense segundo un esquema similar:
- A lesión primaria afecta á cartilaxe hialina. En caso de trastornos circulatorios, prodúcese a deterioración do poder patolóxico. É o primeiro paso ou causa, que pode ocorrer artrose.
- Patoloxías de revestimento de hialina. O adelgazamento da cartilaxe leva á substitución dos seus tecidos patolóxicos - estruturas óseas.
- Os crecementos anómalos aparecen na cartilaxe - osteófitos.
- A derivada violación da anatomía natural da cartilaxe e os ósos provoca a sobrecarga de zonas saudables de cartilaxe. A destrución de tecidos articulares sen tratamento está a avanzar constantemente e levar a discapacidade.
Cando aumenta o grao de enfermidade, os procesos patolóxicos aínda se agravan. Ao final, toda a cartilaxe de hialina é destruída.
O último grao da enfermidade leva a:
- implicación no proceso patolóxico dos ósos, baixo e por encima das superficies cartilaxinosas;
- irritación dunha cuncha conxunta, limitando a mobilidade, o que leva a discapacidade de 2 graos;
- aumento da densidade de cápsulas;
- Reducindo a fenda na fenda da articulación, que se fai notable na imaxe. A etapa da violación é determinada polo-tantenólogo diagnóstico. O paciente sente a complexidade ou a incapacidade de endereitar completamente e dobrar a extremidade;
- A deformación conxunta, a cartilaxe adquire unha forma irregular, provocando curvatura;
- Deterioro no estado do paciente con destrución completa da articulación.
Etapas da artrose
A enfermidade articular ten 3 etapas de desenvolvemento:

- 1 grao. Os trastornos morfolóxicos xa comezaron, pero aínda non se notan. A patoloxía afecta principalmente á condición do fluído sinovial, que peor subministra tecidos cartilaxe con compoñentes de nutrientes, reducindo a forza da cartilaxe. A carga nas articulacións provoca inflamación e dor.
- Etapa 2. Debido á deficiencia de subministración, os cartuchos necesarios son destruídos, os crecementos óseos fórmanse na superficie da cartilaxe. As dores adquiren un carácter máis pronunciado, intensifícanse despois dun longo descanso, elimínanse por pequenos traballos físicos. A dor vai acompañada de inflamación. Os músculos están estirados, o que leva a funcións motoras débiles ou medias.
- 3 graos. Moitas veces hai dores, é difícil mover a extremidade debido aos cambios na articulación. As lesións son extensas, fanse notables para o aspecto espido. A deformación do sitio conxunto prodúcese, a zona afectada incha e queda vermella. O eixe das extremidades está perturbado, o que leva á complexidade do movemento. Os cambios patolóxicos provocan acurtar os ligamentos. Aparecen subluises e contratacións. Os músculos adxacentes están acurtados ou estirados, a partir dos cales se debilita a función contráctil.
Causas e factores de risco para o desenvolvemento da artrose
As causas da artrose das articulacións difiren segundo a forma de patoloxía. A artrose deformante da articulación do cóbado, a articulación do nocello e a artrose do ombreiro ás veces desenvólvense sen causas notables, é posible detectalas cun médico, un especialista en reumatoloxía. Se o problema non estaba precedido de patoloxías visibles, a enfermidade chámase primaria. A forma secundaria de violación é diagnosticada principalmente, pode provocar varios estados.
As principais razóns para o desenvolvemento:
- Danos mecánicos: luxacións, fracturas, estiramento, lesións de menisco;
- unha serie de trastornos endocrinos asociados a mal funcionamento no traballo de inmunidade;
- patoloxías do metabolismo;
- displasia (anomalías conxénitas de tecidos articulares);
- sufriu inflamación das articulacións;
- Patoloxías que conducen á alta mobilidade das articulacións e ao debilitamento dos ligamentos.
Os pacientes con artrose atoparon con máis frecuencia unha enfermidade debido a factores predispoñentes:
- cambios relacionados coa idade;
- Peso lixeiro e aumento do IMC. A alta carga na articulación leva a un rápido desgaste das articulacións;
- falta de substancias beneficiosas;
- Carga excesiva nas articulacións. A razón é un adestramento intenso, deportes, traballo físico duro;
- condicións de traballo difíciles ou un enfoque incorrecto para o deporte. Se hai un historial de tendencia xenética a danos, lesións nas articulacións ou enfermidades similares, é importante adherirse a un programa de adestramento especial, evitando exercicios traumáticos e difíciles;
- O período postoperatorio de recuperación ou operacións complexas transmitidas asociadas á excisión dunha gran parte de tecidos afectados. Estes estados afectan negativamente a suavidade e a forza da cartilaxe, a carga debe minimizarse neles;
- A tendencia xenética, a artrose é máis frecuentemente diagnosticada en pacientes que teñen parentes coa mesma patoloxía;
- A etapa da posmenopausa, ocorre en mulleres durante uns 50 anos, está asociada a cambios no sistema endocrino;
- o efecto destrutivo das toxinas;
- mala situación ambiental na rexión de residencia;
- Os danos frecuentes na articulación, ás veces as microcracks non aparecen durante moito tempo;
- hipotermia;
- Patoloxía da parte lumbar e cervical da columna vertebral.
Artrose primaria

A artrose primaria fórmase de forma independente, é dicir, sen a influencia de causas internas ou externas. A derrota desenvólvese a través da cartilaxe hialina bastante lentamente. Poucas veces se diagnostica, só representa o 3-5% de todos os casos.
Artrose secundaria
A artrose secundaria é máis frecuentemente detectada por unha orde do 95-96% dos casos. Son provocados por calquera das patoloxías anteriores.
Signos e síntomas da artrose
As manifestacións da enfermidade difiren pouco dependendo da localización, a miúdo os signos reflíctense nos xeonllos, nas xuntas de ombreiro e na cadeira debido á alta carga.
Principalmente as queixas baixan a:
- dor. Teñen baixa severidade na fase inicial, con agravamento do estado de sensación intensificada. Inicialmente, as articulacións lastiman só despois de espertar, despois de que desaparezan as sensacións claras. Co tempo, as dores aparecen pola noite, perturban moito durante e despois de camiñar, correr, etc. na última etapa, a síndrome da dor persegue a unha persoa todo o tempo;
- Amplitude limitada de movementos. A rixidez das accións indica cambios anatómicos na estrutura. Ao principio maniféstase pola mañá, entón os movementos diarios son limitados. Para non provocar o agravamento da condición, o traballo debe ser diverso e lixeiro, se non, o paciente non poderá desembarcar e espremer a extremidade co paso do tempo. Co paso do tempo, existe o risco de contraerse, do que unha persoa perde a capacidade motora;
- Coroa durante os movementos: pertence ás manifestacións inespecíficas da artrose. A enfermidade caracterízase pola aparición de crise nunha única articulación (excepto para a poliartrose), acompañada dun malestar, dor e accións limitadas. A natureza da corrente é como a onda - ao principio maniféstase débilmente, intensifícase gradualmente, pero en 3 etapas desaparece;
- hinchazón con vermelhidão. Está localizado preto da articulación enferma, isto indica un proceso inflamatorio e a progresión da enfermidade. O médico entende que a cuncha sinovial está afectada, isto provoca a acumulación de fluído e aumento da dor;
deformacións das extremidades. Aparece nunha forma descoidada da enfermidade, indica a destrución completa do tecido cartilaxe e a aparición de osteófitos. Neste estado, a presión sobre as articulacións enriba e por baixo aumenta, a partir das cales a curvatura pode afectar a toda a extremidade.
É importante lembrar que a deformación dos ósos na perna adoita confundirse co millo. O síntoma é mal perigoso só a primeira vista, pero leva a graves consecuencias.
Complicacións
Inicialmente, úsanse métodos conservadores de terapia para o tratamento. Se son ineficaces ou o paciente ignorou as recomendacións do médico, existe o risco de consecuencias.
Posibles complicacións:
- A articulación está completamente destruída;
- A extremidade está inmobilizada, os movementos fanse extremadamente difíciles;
- Hernias intervertebrais;
- discapacidade;
- Forte deformación da articulación ou da extremidade enteira.
Diagnóstico da artrose
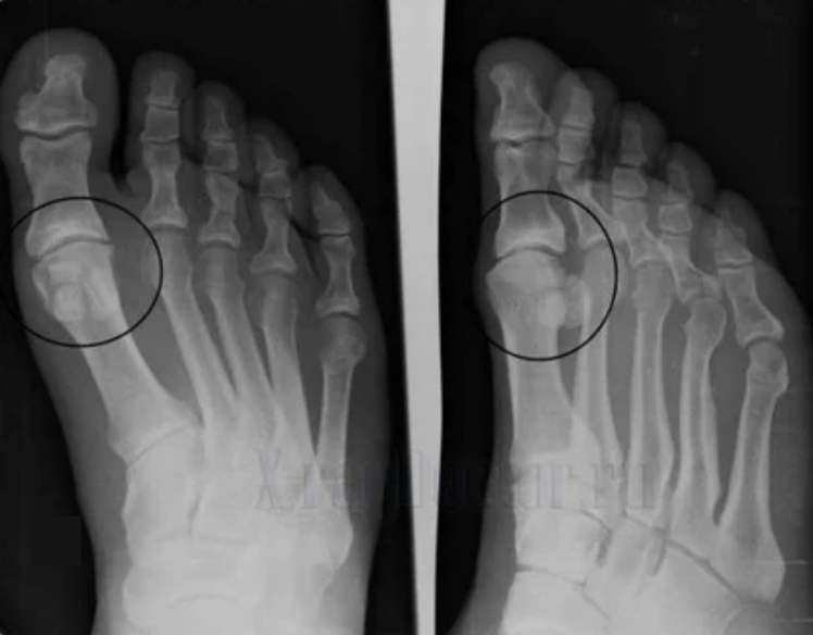
Para facer un diagnóstico, os reumatólogos estudan as queixas do paciente e prescriben un exame x -ray. Na maioría das veces, a radiografía úsase en 2 proxeccións. O médico mira a presenza de trastornos distóricos en cartilaxe hialina e articulacións óseas. Se a brecha articular é reducida, os ósos están deformados ou aplanados, hai formacións císticas na superficie da cartilaxe, os osteófitos son signos obvios de artrose. Durante a inspección, a artrose indica a inestabilidade da articulación: o eixe das extremidades e a subluxación é perturbado.

Moitas veces unha imaxe x -ray non é capaz de dar información completa sobre o estado da articulación. Para un estudo máis exhaustivo, prescríbese a tomografía computarizada, é eficaz para examinar os ósos. A resonancia magnética úsase máis a miúdo para estudar tecidos brandos.
Durante o diagnóstico, practícase a implicación doutros especialistas que axudarán a determinar a causa raíz da patoloxía. A miúdo recorre á consulta dun hematólogo, endocrinólogo, xinecólogo, ortopédico.
Tratamento moderno
Hai centos de xeitos de terapia con artrose, pero todos baixan a varios métodos:
- Tratamento de drogas. A tarefa principal é combater os síntomas e evitar un maior desenvolvemento dunha violación. Na maioría das veces, os analxésicos úsanse para aliviar a dor, os fármacos anti -inflamatorios non esteroides para combater a inflamación, prescríbense medicamentos hormonais por dor grave e inflamación aguda. Cada curso está baseado en condroprotectores que protexen os tecidos de cartilaxe contra a destrución, úsanse substancias naturais para a súa fabricación;
- Fisioterapia. Mellora a eficacia das drogas, loita coa inflamación, alivia os síntomas, acelera a rexeneración dos tecidos. A maioría das veces usadas por ultrasóns, eléctricos, magnéticos, terapia láser. Isto tamén inclúe baños de barro, aplicacións con materiais naturais, baños de radón;
- Educación física médica. É útil tanto como prevención como facilitando a condición. Despois dos exercicios físicos correctos, é posible eliminar completamente a dor. É útil visitar a piscina, participar en ioga e a miúdo camiñar;
- A terapia manual, a masaxe axudará no tratamento da enfermidade, xa que contribúen á prevención da curvatura das articulacións. Despois de lesións, o terapeuta manual é capaz de nivelar a articulación, evitando a súa fixación en posición incorrecta. Despois da masaxe, o ton muscular é mellorado, a circulación sanguínea acelérase;
- Nutrición adecuada. Unha dieta saudable axudará a enriquecer o corpo con nutrientes para a cartilaxe e reducir o peso corporal. Unha gran masa aumenta o desgaste das articulacións;
- O tratamento con sanatorio-resort fortalecerá as articulacións. No marco de curación, ofrécese sanatorios balneterapia, terapia de exercicios, procedementos fisioterapéuticos, etc.;
- Terapia non tradicional. Para o tratamento da artrose, utilízanse cabanas, natureza, afección e herbas, así como acupuntura e diversas receitas populares;
- A intervención cirúrxica é o único xeito de volver á vida habitual na terceira fase da enfermidade. Os endoprostéticos permítelle substituír a cartilaxe do paciente polo implante. O único inconveniente da operación é o elevado custo. Un procedemento é suficiente para 15-20 anos.
Medidas preventivas
Para que a artrose da articulación non se moleste na vellez, está:
- manter un estilo de vida saudable;
- evitar cargas fortes;
- Observa unha dieta;
- excluír malos hábitos;
- Realizar ximnasia diariamente;
- Siga o peso.
A artrose é unha enfermidade perigosa que é moito máis fácil de evitar que a curación. Con busca oportuna a un médico e o cumprimento das regras de tratamento, o paciente poderá manter un estilo de vida familiar durante moito tempo. A falta de terapia e auto -medicación provocan o rápido agravamento da enfermidade e, finalmente, a discapacidade.

























